
下記の認定を受けています。
歯科医師臨床施設(協力型)
「専門医・指導医」在籍
こちらは練習用に作成しているサイトです。大須歯科医院のサイトはこちら

歯科医師臨床施設(協力型)

土日祝も21時まで診療
「上前津駅」徒歩2分
歯周病の専門医が常駐
痛みを最小限に
削る量を最小限に
抜歯をなるべく避ける全国でわずか0.3%の
「指導医」だからできる
「最適な選択肢」


厚生労働省の日本歯科専門医機構が認定する歯周病治療の指導医は全国でもわずか0.3%しかいません。
歯周病治療の指導医は歯周病治療に関する深い知識と経験に裏付けられた確かな治療ができるスペシャリストです。









歯周病以外のお悩みもお気軽にご相談ください。
歯ぐきの炎症を抑え、歯を支える骨を保護し、歯が抜けるのを防ぐ専門治療です。
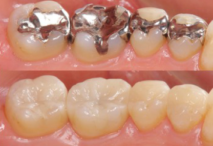
歯が痛いと感じたり、痛みを感じなくても(症状が無くても)虫歯が始まっている可能性があります。歯の溝が黒く(茶色)なっている・歯の表面がざらついている・冷たいものがしみるなどの症状がある場合は診断されることをおすすめします。当院ではできるだけ痛みの無い無痛治療を心掛けています。また、できるだけ歯を抜かない・神経を抜かない治療も行っております。
インプラントとは、「体内に埋め込む医療機器・材料」の総称です。歯科医院では、歯が欠損した部分の顎の骨に、インプラント(人工歯根)を埋め込み、人工の歯を装着するという治療を行います。費用や治療の流れ、治療期間、治療後のメンテナンス等わからないことも多くあると思います。丁寧にご説明いたしますので、まずはお気軽にご相談ください。
歯並びが悪い場合や噛み合わせをきちんと噛み合うようにして、きれいな歯並びにする歯科治療です。歯の表面に金属の装置をつけるのに抵抗がある方は、マウスピース型装置の矯正(インビザライン)を使用して、歯ならびと噛み合わせを治していく矯正もあります。マウスピース型装置の矯正(インビザライン)は、透明で、薄いプラスチックでできていますので、目立ちません。また、歯の表面に金属の装置をつける一般的な矯正治療に比べて、舌触りも自然です。
最近、国内でも予防歯科が注目されはじめていますが、欧米などでは、歯科医院などで定期健診を受けることが習慣になり、日常から歯科医や歯科衛生士と一緒にお口の健康づくりを実践しています。予防歯科の基本的な部分は、歯が生え始めた頃から歯の健康を考えていくことにあります。歯がなくなると生活習慣病になってしまうリスクも高くなります。そうならないためにも、正しい習慣を身に着け、歯をトラブルから守り、管理する予防歯科が大事になってきます。
再生治療とは、新しい治療分野になり今までは抜歯するしかなかった歯も、残せるようになる可能性があります。歯周病でグラグラになった歯や、溶けた骨なども再生させる治療法があります。これからは、削らない・抜かない・痛くない治療というのが主流になっていく可能性があります。
ホワイトニングは歯を削ること無く、安全に歯を白くできる方法です。当院では自宅で自分のペースで行うホームホワイトニングに対応しています
見た目と機能性を両立し、天然歯のような美しい口元とQOL向上を追求します。
お子様の健全な成長のため、予防と治療を通じて虫歯のない健康な歯を育てます。
大須歯科医院として開業30年以上、患者様と共に歩みここまで来ることが出来ました。
当院では、カウンセリングに時間をかけ、お悩みを汲み取ることで、一人ひとりに合った治療を提案しています。歯周病だけででなく、虫歯治療の一般歯科・小児歯科・矯正歯科など幅広い治療内容に対応しています。
インプラント・ホワイトニング・審美歯科・口臭など、まずはお気軽にご相談ください。


当院は医療法人グループ光風会に所属しています。医療法人グループ光風会は、愛知、三重を中心に関東、関西まで全国に18医院を展開しています。
患者様のご希望に応じてかかりつけ医の持つ医療情報をグループ内で適切に共有し 最適な治療に役立てることができます。
名古屋市中区大須の歯医者、歯周病でお悩みの方は専門医・指導医がいる大須歯科医院へご相談ください。
上前津駅8番出口より徒歩2分、駐車場は2台完備。
当医院では歯周病治療だけでなく、虫歯治療の一般歯科・小児歯科・矯正歯科など幅広い治療内容に対応しています。インプラント・ホワイトニング・審美歯科・口臭など、まずはお気軽にお問い合わせ下さい。